Per non perdere il sorriso
Odontotecnico a Bologna
Se cerchi un odontotecnico a Bologna, il nostro laboratorio A.M. esegue lavorazioni e riparazioni odontotecniche: siamo specializzati in riparazioni di protesi dentali, in un’ora e in giornata.
Forniamo anche servizi a domicilio per anziani e siamo aperti tutto l’anno, anche nei festivi (ma su appuntamento).

Il tuo odontotecnico a Bologna
Hai un problema con la tua protesi dentale o dentiera? Aspetta a cambiarla!
Prima di acquistare una nuova protesi dentale, contattaci per un preventivo gratuito: possiamo ripararla nel nostro laboratorio e tornerà come nuova.
Qualità dei servizi odontotecnici
I nostri tecnici qualificati, sempre aggiornati sulle nuove tecnologie, uniscono i moderni strumenti con le abilità della lavorazione manuale, offrendo un servizio di precisione e all’avanguardia nel settore protesico.
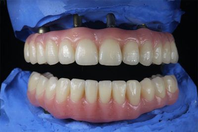
Specializzati in protesi dentali
Ripariamo protesi dentali da quasi 40 anni. Grazie alla nostra esperienza possiamo garantirti la consegna della tua protesi o della dentiera quasi sempre nel corso della giornata e per problemi o difetti lievi anche in un’ora.
Che cosa può fare per te un odontotecnico
I GIORNI FESTIVI SIAMO APERTI SU APPUNTAMENTO

Siamo convenzionati con varie associazioni pensionati








